新澳门天天免费谜语解法答案 从环节动物到脊椎动物,揭示人类大脑进化奥秘
我们的神经系统是如何一步步从环节动物演化至今的?
环节动物
多有环节动物,像水蛭以及蚯蚓这类,其脑的结构相对而言是简单的。蚯蚓的大脑处在第三体节的口咽之上方,被区分成两叶。感觉神经发出之后朝着前方进入口前叶还有第一体节。掠食性的多毛动物,其神经系统却更为复杂些,它的大脑能够被分为前脑、中脑以及后脑,有一对环绕食道或者口咽的结缔组织,从大脑发出后环绕前肠,并且连接腹神经索。
环节动物在早期时,有一对腹神经索,它们是由横向结缔组织连接着的,到了晚期环节动物那里,这对腹神经索融合成了一根神经索,且动物的每个体节都有一个膨大的神经节,其中处在头端的咽下神经节最为发达,有两到五对外侧神经,在离开神经节后支配该部位的体壁,表皮下神经丛布满全身各处,还有另一肠胃神经丛,也就是交感神经丛,它位于肠壁位置。

人脑神经元之间联系的示意图 (Thomas Shultz)
通常来讲,粗大的轴突数量是极少的,它们有可能归属于单个细胞,也有可能源自多个神经元。这些轴突可以快速地把神经冲动传导至节段性肌肉,其主要的功能在于迅速地收缩躯体从而去抵御捕食者。
一般来讲,蠕虫那种迟缓的爬行是借助一系列反射弧达成的。于爬行进程里,某一部分肌肉出现收缩,这会刺激当中的伸展感受器,冲动顺着感觉神经传导至脊髓,接着运动神经元会朝着纵向肌肉发出冲动,促使纵向肌肉收缩,进而激活下一节段的伸展感受器,最终完成与虫体平行的一轮收缩波。
据研究显示,环节动物拥有某种程度的感知能力,具备一定的协调运动能力,还拥有学习能力,与之相关的神经解剖结构,指示了其他物种类似行为活动模式背后所蕴含的机制。
水蛭能够产生两种节律行为,一种是心跳,一种是游动,规则的心跳节律是由心脏起搏神经元所产生的,其所具体表现为动作电位与抑制性突触电位的交替爆发,心跳的产生好像依靠的是谁“中央控制器”,游动却是由广泛的神经元网络协同产生的,这种结构可能和其他高等动物节律运动的神经基础大致相同。
简单软体动物
蜗牛、蛞蝓、蛤蜊以及贻贝这些原始软体动物,其神经系统跟环节动物大体上相类似,不过依旧有着一些差异之处,蜗牛的大脑处在食道的上方位置,它是由一对脑神经节所构成的,脑神经离开前额以后会去支配眼睛以及触角,进而形成一对颊神经节 ,而最后一对神经节也就是胃头神经节,它对口咽、唾液腺、食道以及胃起到支配作用,足神经索是从大脑腹侧神经节发出的,最终终止于一对足神经节,并且支配足部肌肉。有另一对内脏神经索,它朝着背侧伸展,一直延伸到内脏神经节,在其附近的顶神经节,负责对外套膜以及体壁进行支配,胸膜神经节会对外套膜和肉质层予以支配,而肠神经节是跟胸膜神经节相互连接的,它负责对鳃、嗅检器以及外套膜实施支配。

海蛞蝓神经元
双壳类动物的胸膜神经节处在食道两侧,第一对神经索从该神经节离开朝着背侧伸展到内脏神经节,接着对外套膜、闭壳肌以及内脏器官进行支配。第二对神经索沿着腹侧前行到足神经节。双壳动物的感觉器官大多在位于外套膜边缘,像扇贝的平行式眼睛,有角膜、晶状体以及视网膜,其中感光细胞在视网膜深层。(与脊椎动物相似)
眼睛、触角、平衡囊以及嗅检器,是蜗牛的感觉器官。海蜗牛神经活动的相关研究,从细胞水平揭示了学习和记忆的基本原理。当受到轻微的触觉刺激时,它们的鳃会收缩,与该行为相关的反射弧,包括口部的感觉传入通路、鳃部的运动神经元以及它们之间的单突触联系。在刺激发生以后,感觉神经元会作用于中间神经元,进而刺激运动神经元,使其产生兴奋性突触后电位,导致鳃收缩。在同样刺激多次重复之后,突触后电位的幅度会渐渐变小,收缩动作也慢慢变弱。最终,突触后电位会变得极为小,结果动作电位不再出现,鳃也不再收缩。这种现象称作习惯化,其可能存在的机制是钙离子通道关闭,突触前末梢的钙离子流入受到阻碍,进而致使神经递质的释放。也有证据显示,习惯化发生的缘由是神经网络中被激活的细胞变少。
敏感化,与习惯化相反,指的是刺激次数增加致使反应程度加强,其原理是突触前易化,这是由感觉神经元末梢的第二信使cAMP释放增加所引发的。
习惯化以及敏感化等,这类突触反应强度出现变化的现象,被称作神经系统的可塑性,它有可能是短期记忆机制的基础,也可能是长期记忆机制的基础。长期的突触可塑性发生变化,这种变化可能会致使突触结构产生改变。比如说,长期习惯化会让神经末梢活化区的数量有所减少,然而长期敏感化则会使得神经末梢活化区数量有所增加。多毛虫具备逃跑反应的习惯化行为,蟑螂也具备逃跑反应的习惯化行为,小龙虾同样具备逃跑反应的习惯化行为。
代表着无脊椎动物神经系统高级发育状态的,是软体动物里头足类的鱿鱼、乌贼和章鱼,以及节肢动物中的昆虫和蜘蛛。其神经系统基本框架虽与环节动物大致相同,却有着诸多明显优势。头先,头足类动物头端有个神经细胞高度集中的区域,神经节出现了融合与延伸,周围神经系统里的神经细胞转移到了脑和神经节中,于是神经索成了单纯的神经纤维。除此之外,大脑有了特定功能区的划分,像是负责控制运动和进食的脑区。

无脊椎动物的神经系统演化
复杂软体动物
头足类神经系统的复杂程度,跟它们活跃的运动以及捕食习性存在关联,软体动物多数典型神经节,集中于食道周围的大脑里,神经从大脑发出,延伸至触手或者触角根部的神经节,接着再延伸到触手末端,大脑与外套膜内表面的星状神经节,借助一对较粗的脑神经相连,胃神经节发出支配消化道的神经。
种类繁多的复杂活动,被大脑特定区域所控制,这些活动,有的可能只是涉及单个脑区的简单行为,有的则纷繁复杂,还涉及多个肌肉群。头足类大脑的最高中枢称作联络区,它和物体辨别、学习以及记忆相关。
就像蚯蚓和昆虫身上也有的那样,鱿鱼的巨型纤维系统极为发达。脑部当中的巨型神经元发出纤维,这些纤维延伸到头部收缩肌和星状神经节。星状神经节的纤维再度融合,进而形成支配外套膜的巨大纤维。这些纤维的直径比普通神经纤维粗好多倍,依靠这个直径的优势,它们得以十分迅速地传导冲动,靠着传导冲动得以完成敏捷运动。
头足类动物的眼睛格外发达,甚至能跟脊椎动物相抗衡。它的眼球处在跟颅骨分开的眼窝处,眼外肌操控眼球转动。透明的角膜罩在眼球表面,能对近处以及远处的物体进行聚焦。虹膜中心构成瞳孔,还调控着抵达视网膜的光线强度。视网膜包含感光细胞,也就是视杆细胞,其轴突形成视神经,并伸展至巨大的视皮质。
头足类动物,其神经系统相较于其他软体动物更为发达,所以行为也更为复杂,头足类动物通常是肉食性的,它们能够在水中快速地游移,会运用眼睛去追踪猎物,借助触手感受器来探测机械以及化学刺激,它们浑身的肌肉相当敏捷,能够分辨出美味的食物和难吃的食物,而且在特殊情形下,还能够将自身的颜色加以改变从而融入周围环境。

乌贼的神经系统
节肢动物
节肢动物有着较为复杂的区域化神经系统,其大脑是由前脑、中脑以及后脑共同组成的。前脑会接收并且整合视神经以及蕈形体的输入信息,它具备一定的运动控制功能,同时还是复杂行为的中枢所在之处。中脑和后脑分别含有第一和第二触角的联络神经网,并且发出支配口器和前消化道的神经。其中第二触角神经网构成胃口系统,对摄食以及消化相关的肠道运动有着调节作用,与脊椎动物的自主神经系统存在些相似之处。
腹神经索是由两列神经节组成,结缔组织纵向把它们相连,神经接索横向将它们相接。不同类型节肢动物呈现出不同程度神经节融合现象。昆虫有食管下神经节,它由三对神经节融合而成,发出支配口器和唾液腺的神经,昆虫还有3对胸神经节以及多达10个腹神经节。昆虫胸部和腹部节段性神经节发出支配附肢、背肌、感觉器官和心脏的神经。
节肢动物里,最常见的感受器是感觉毛,但其中大多是机械感受器,这种感受器对触摸、振动、水流以及声波敏感,另外有一些是化学感受器,能探测水中的气味还有化学物质,关节处的感觉毛最易受躯体运动刺激,所以在动飞行时起到稳定作用,昆虫的触角里有许多感觉细胞与感觉器官,触角底部是平衡囊结构。
蜘蛛眼睛结构是较简单的那种,其视网膜呈现为杯状形态。甲壳动物以及昆虫呢,具有的是一对偏向复杂的复眼,这复眼是由大量被称作小眼的视觉单位构造而成的。每个小眼存在6到8个感光细胞,这些感光细胞被用于调节光线强度的色素细胞所环绕包围,并且分布在角膜以及折射锥的下方位置。如此这般的结构情形之下呢,对于追踪那种处于广泛视野里进行快速运动的物体而言是特别合适适宜的。
虽然昆虫体型小,可是昆虫某些神经元胞体内和轴突的直径比人类还要大。昆虫的神经元数量相对较少,所以每个神经元的信息处理能力必定很强。逃跑行为就是个典型例子:蚱蜢的跳跃肌肉仅由几个运动神经元支配,然而人类却需要数以万计的神经元。还有夜蛾的耳朵也是个例子。每只耳朵含有一个由鼓膜形成的充满空气的腔室,听觉感受通路从鼓膜的中心穿过鼓室,抵达附近的骨骼。该感受器含有两个名为A细胞的听觉感受细胞。由A细胞的终末段发出轴突,轴突随感觉通路延伸到骨骼,之后通过鼓膜神经传导至胸神经节,进而由胸神经节支配逃避行为相关的肌肉。

对超声波强度进行编码的是 A 细胞借助动作电位的频率变化。每只耳朵能够针对不同刺激给出不一样的反应,声音源头因动作电位持续时间存在差异而被探测出来。这里有一点要着重指出,介导夜蛾出现逃避行为,两个 A 细胞必须给予足够的听觉信息。
显然,简单的神经回路是快速反应的结构基础,尽管信息精确度或许会有所牺牲,然而逃避行为自身不会受到太大影响。实际上,蠕虫、鱿鱼、甲壳动物以及昆虫的巨型纤维系统进化或许和躲避掠食者紧密相关。巨型纤维的冲动传导速度比纤细轴突更快,而大量纤细轴突的协同信息处理能力远远超过巨型轴突。在此种背景下,无脊椎动物进化出了两种神经系统,用以分别应对不同的外界刺激:一种介导快速的逃避行为,另一种负责复杂信息的获取与整合。
主要的无脊椎动物类群里,神经分泌细胞已被证实是存在着的,并且在节肢动物当中,其发育程度达到了最高。昆虫的神经系统,主要是由大脑头端的神经分泌细胞构成的,这些细胞的轴突形成神经纤维,进而延伸至大脑后部的心侧体。心侧体中的神经分泌物,先暂时存于神经末梢,之后再释放到血液循环里。
前脑那儿的神经分泌细胞,会合成一种物质,这种物质叫促蜕皮激素。传输到大脑的感觉冲动,会对激素分泌过程进行调节,靠着这种调节进而刺激胸部节段的非神经性内分泌腺,也就是蜕皮腺,让蜕皮腺释放蜕皮酮,靠着蜕皮酮来促进幼虫发育里的蜕皮作用以及分化过程。和这个情况相反,返幼激素能让组织维持在未成熟的幼虫状态,返幼激素是由位于心侧体后方的另一对非神经内分泌腺体,也就是咽侧体分泌的。所以说,昆虫发育的连续生命阶段是由蜕皮酮和返幼激素的不同水平给决定的。

具有细胞体,还有神经纤维,以及树突,这些是,由大英百科全书公司所指出的运动神经元的结构特征。
脊椎动物
脊椎动物的神经系统主要涵盖两部分,其中,中枢神经系统是由大脑以及脊髓共同构成的,而周围神经系统是由12对脑神经、31对脊神经,还有自主神经系统组合而成的。
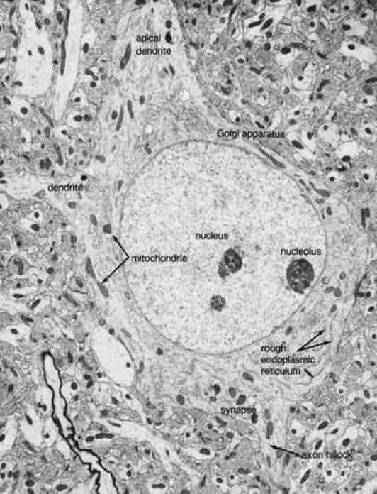
神经元常常以核团形式存在,在周围神经系统里它被称作神经节2025天天彩资料免费版官网,于中枢神经系统中它被叫做神经核。中枢神经系统中,以无髓神经纤维以及神经胶质细胞为主的部分被称为灰质,以有髓神经纤维为主的部分被称为白质。内脏神经对心脏和肠胃等脏器进行支配,躯体神经对皮肤和肌肉等体壁结构进行支配。在中枢神经系统中,神经纤维被包裹成神经束,上行神经束借助脊髓把冲动传递给大脑,下行神经束则把大脑或脊髓等高级中枢的冲动传递到低位区域。这些神经束,一般按照其起源以及终止的部位给予命名,像那种由发源自大脑皮层直至脊髓的纤维所构成的皮质脊髓束。
脊椎动物属于脊索动物门里的一个高级亚门,所有脊索动物在其一生当中的某个阶段必定拥有过一个贯穿身体全部的柱状脊索结构,低等的脊索动物,也就是半索动物、被囊动物以及文昌鱼,代表着脊索动物神经系统的初始状阶段,它们没有脊椎,只是背侧神经管存在一个中空的内腔,大概等同于脊椎动物的脊髓,这表明脊髓是中枢神经系统最原始的成分中的一个。
文昌鱼的感觉纤维从背根离开脊髓,运动纤维从腹根离开脊髓,它们支配邻近体节2025全年免费资料查询,七鳃鳗也是如此,背根和腹根神经始终保持分离,且沿脊髓交替出现。低等鱼类背根和腹根类似,不过会汇聚成一根脊神经。高等脊椎动物两根神经连接成一根脊神经,同时离开脊髓,进而支配一个生肌节。生肌节发育形成附肢像鳍、翅膀、手臂和腿后,这些脊神经继续支配原始节段,还进一步分支形成神经丛。
由神经索头端的神经细胞聚集,就此形成了脊椎动物的大脑。一开始的时候,仅仅是这些弥散的细胞,它们对脊髓运动神经元的反射活动,起到了调节作用。并且,其功能与高等脊椎动物脑干的网状结构相类似。从而,我们能够进行推测,脑干属于大脑当中最古老的部分之一。

大鼠视皮层神经元 (Alan Peters)
脊椎动物进化早期时,特殊感觉系统开始呈现特定脑区的投射状,像前脑跟嗅器,中脑同视器,后脑与听觉及平衡器官。与此同时,前脑、中脑以及后脑的灰质产生了背侧的突起,也就是端脑、中脑顶盖还有小脑。脑干也渐渐分化分成了三部分,进而整个脑形成了完备的五元结构,分别是端脑、间脑、中脑、后脑和延髓。以上这些神经中枢加入到原始脑干后,感觉纤维与运动纤维之间有了更为良好的协调联系。
许多明显的、能轻易被察觉到的普遍特征,在不同的脊椎动物的大脑当中是存在着的,其中的一个特征是,大脑某一个区域的大小,和它在功能方面的重要程度是紧密相关联的。低等动物的嗅球通常是很大的,其重要性通过推测就能知道,然而高等动物却是和这种情况相反的。在漫长的进化进程里面,神经系统的“司令部”慢慢地从低位脑干转移到了高位大脑皮层。
后脑实际上等同于脊髓头端的膨大部分,其灰质里的背侧感觉柱,以及腹侧运动柱,在脊髓当中都存在类似的同名结构,这些结构于早期脊椎动物里仍有留存,然而高等脊椎动物的感觉和运动柱分裂成了连接某些颅神经的离散核,后脑借助网状结构对脊髓运动神经元予以控制,另外,鱼类和有尾两栖动物存在一对被称作毛特纳细胞的巨型细胞,它们对脊髓反射具备一定的调控作用,和节奏性游动以及甩尾逃逸等行为紧密相关。
来自鱼耳(感受听觉和平衡)和侧线(感受振动和压力)组成的声外侧区的信息输入,主要被后脑接收。
一个特殊结构位于听外侧区,小脑便起源于此。原小脑是其中最古老的部分,它和平衡觉相关,还跟内耳以及侧线系统相连接。小脑前叶是旧小脑,是个调节平衡和肌张力的区域,是鱼类、爬行动物以及鸟类小脑的主要部分。随着哺乳动物小脑半球增大,大脑皮层开始发育,并且它与小脑的联系愈发紧密起来。新出现的小脑区域称作新小脑,它负责协调大脑皮层主导的随意运动。对哺乳动物来说,连接脑干和小脑的神经纤维形成了脑桥,脑桥与小脑一同构成后脑。后脑的尾部则是延髓。

哺乳动物脑的同源性与分化
构成脑干前部的是中脑和间脑,颅神经的感觉以及运动核团,从后脑延伸到了中脑,中脑顶盖发展成了主要的视觉中枢,其中视叶在鱼类和鸟类里特别发达,鱼类以及两栖动物的顶盖是神经系统的首要中枢,对躯体运动起主导作用,虽然该区域对爬行动物和鸟类同样相当重要,但其不可替代性已开始受到大脑半球的威胁,而哺乳动物的视觉信息几乎都被传递至大脑皮层。因大脑皮层不断发育,丘脑的联络功能出现减退情况,不过其感觉冲动的中继功能却日益增强,内脏感觉中枢处于下丘脑,运动中枢同样位于下丘脑。
伴随脊椎动物持续进化,大脑半球身兼联络中枢的地位愈发重要,大脑半球自前脑起始呈对称发育,担当着嗅觉处理器的角色,早期脊椎动物的前脑被划分成嗅球(嗅觉纤维的终止区域)以及大脑半球这两个区域,此时的大脑半球又被叫做古皮质,仅仅对嗅觉信息起到处理作用,两栖动物的嗅叶极为发达,然而对于鸟类和灵长类动物来讲,嗅觉的重要性有所下降,所以其嗅叶也出现了退化,两栖动物的大脑半球是由古皮质(嗅叶)、原皮质和基底核构成的。嗅觉刺激可被这三个区域接受,且向脑干发放冲动。哺乳动物的海马体结构和原皮质极为相似,基底核等同于纹状体,是连接丘脑的桥梁。原始爬行动物的基底核移至大脑半球内部,其他灰质移向表面。高级爬行动物的古皮质与原皮质间出现新皮质,这是新的信息处理中心。鸟类没有新皮质,但其基底神经节(纹状体)显著增大。哺乳动物的新皮质,是逐渐进化变大的,大到远远超过大脑其他部分2025年最精准免费资料,其神经活性还与日俱增,所以能够胜任联想、学习等高级行为。新皮质扩大后,包裹了其他大脑结构,原皮质被折叠成半球内部一个小区域,也就是海马体。古皮质(嗅叶)变成大脑半球(梨状叶)上方一个腹侧区域。纹状体(曾经的基底核)成为大脑半球的中心部分。灵长类动物和人类的新皮质,发生了进一步的扩大折叠,进而产生了沟壑起伏的大脑皮层。
鲁ICP备18019460号-4
我要评论